股関節脱臼したトイプードルの非観血的整復
15歳のトイプードルが高所から飛び降りた際に、着地で滑って転び悲鳴を上げました。左後肢を挙げて地面に着けなくなり来院しました。


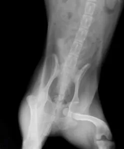
レントゲン撮影をして左股関節の脱臼を認めました。脱臼して時間も経過していなかったため、まずは手術ではなく鎮静下での非観血的整復を試みました。


無事整復できましたが、再脱臼の可能性があるためバンデージ固定による2週間の運動制限を行いました。関節炎改善を促す注射カルトロフェンを週に1回、1か月かけて4回予定しました。

バンデージ固定により、歩行時の後肢可動域を制限しています。

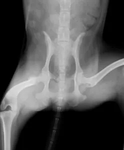
2週後にバンデージを外しましたが、股関節は外れずに機能していました。
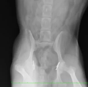
何度も再脱臼してしまう場合には、整形外科の専門病院にて外科的固定を行うこともあります。

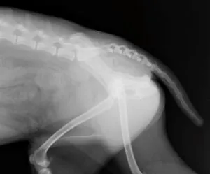
写真は両側の股関節脱臼をして整形外科の専門病院にて外科的整復を行った別症例。
レオどうぶつ病院






